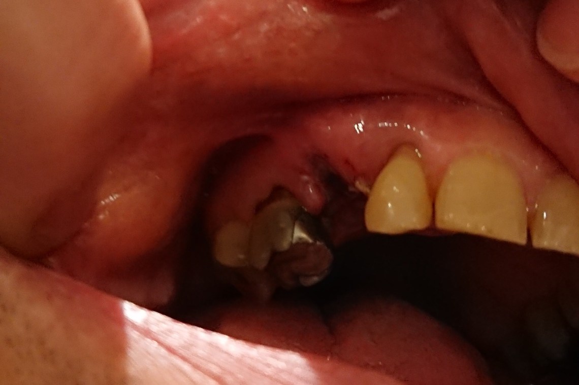
David JenkinsMarch 11, 2018January 27, 2019Uncategorized Post navigation PreviousNext Sun 4 Mar 18: not for the squeamish … the result of this week’s op, a big gap upper right Share this: Share on X (Opens in new window) X Share on Facebook (Opens in new window) Facebook Like Loading... Related