
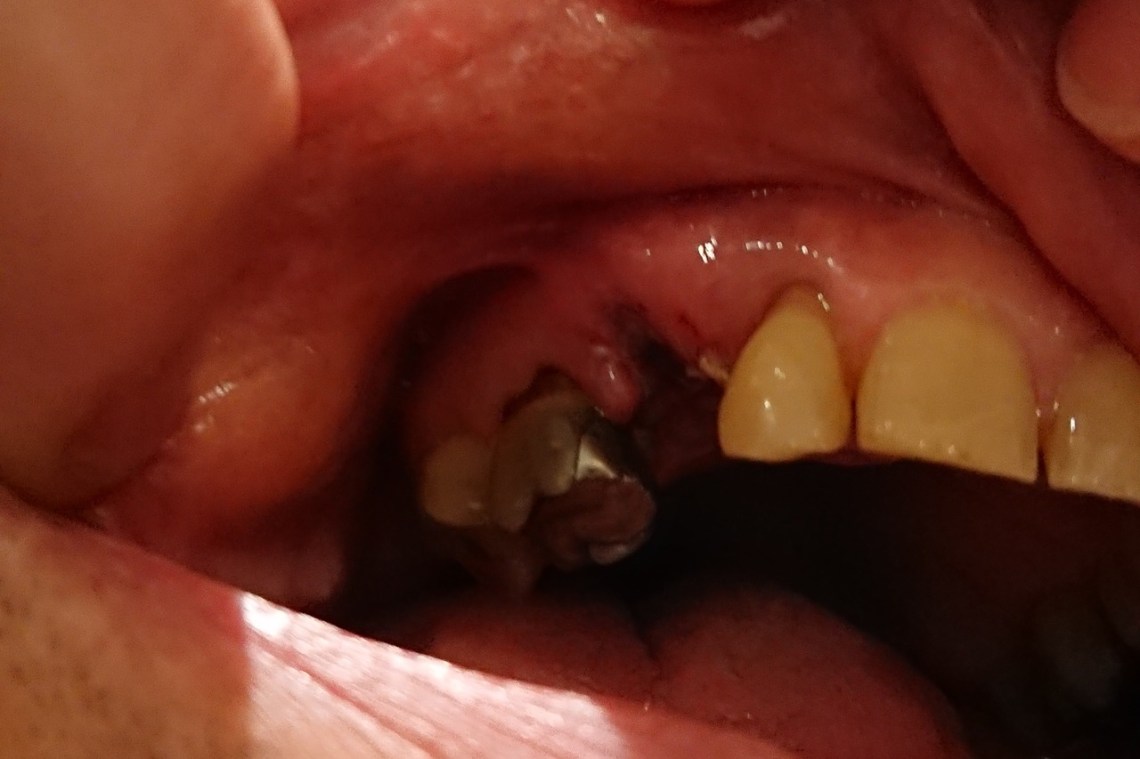
Wed 23 Jan 18: sorry for the gruesome shot again (this is from 3 Mar 18) but with it’s new censorship rules Tumblr identified it as possibly in breach thereof. Thankfully a ‘human’ intervened and it was considered OK.
Footnote. Of course when this was posted again it hit the same problem but to its credit Tumblr has been very swift to approve it.
